Leukoplakia Oral Cancer White Spots On Gums Feb 15 2024 nbsp 0183 32 Leukoplakia loo koh PLAY key uh causes thick white patches that form on the gums The patches also may form on the insides of the cheeks and the bottom of the mouth
There are two main clinical variants of oral leukoplakia namely homogeneous leukoplakia and non homogeneous heterogenous leukoplakia which are described below Sep 6 2025 nbsp 0183 32 Leukoplakia is a mouth condition involving thick white patches that is most often caused by tobacco use Learn more about its symptoms causes and treatment options
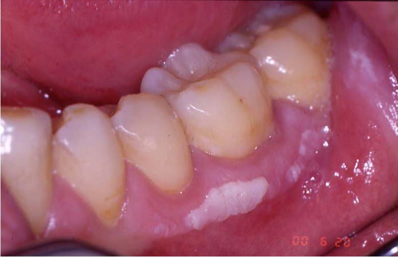
Leukoplakia Oral Cancer White Spots On Gums

Leukoplakia Oral Cancer White Spots On Gums
https://post.healthline.com/wp-content/uploads/sites/3/2020/02/317689_1100-1100x628.jpg

Leukoplakia On Gums Pictures Photos
http://www.preventionandresearch.com/pagine/285/big/130711141911_fig 2 palaia.jpg

Oral Leukoplakia OPMDCARE
https://opmdcare.com/wp-content/uploads/leukoplakia-image3.jpeg
Sep 18 2024 nbsp 0183 32 What is leukoplakia and is it always a symptom of oral cancer Oral oncologist Mark Chambers D M D weighs in on these and other questions Find out about leukoplakia including what the symptoms are when to get medical help treatments and prevention
Jan 25 2023 nbsp 0183 32 Oral leukoplakia presents as white plaques of questionable risk diagnosed when other known diseases or disorders that carry no risk for oral cancer have been excluded Leukoplakia is a predominantly white lesion of the oral mucosa than cannot be clinicopathologically characterized as any other definable lesion The term leukoplakia is a
More picture related to Leukoplakia Oral Cancer White Spots On Gums

Dentistry Lectures For MFDS MJDF NBDE ORE Leukoplakia Note With Images
http://1.bp.blogspot.com/-iC-sxcZFeBg/ThsNMSFsqXI/AAAAAAAAAHg/HWthu-zCg1A/s1600/leukoplakia+of+gingiva.jpg

Dysplasia
https://maxfacts.uk/diagnosis-list-dysplasia-level2-figure1.jpg

Learn More About Mouth Cancer Or Oral Cancer Yashoda Hospital
https://www.yashodahealthcare.com/blogs/wp-content/uploads/2021/09/mouth-cancer.jpeg
Jul 17 2023 nbsp 0183 32 Oral leukoplakia is a white patch or plaque that develops in the oral cavity and is strongly associated with smoking Risk factors include all forms of tobacco use forms including Nov 8 2023 nbsp 0183 32 Leukoplakia or white and gray patches inside the mouth may be caused by irritation Or the condition may be a sign of oral cancer Learn more about how leukoplakia is
[desc-10] [desc-11]

Leukoplakia Of The Gums Stock Image C023 5436 Science Photo Library
https://media.sciencephoto.com/image/c0235436/800wm/C0235436-Leukoplakia_of_the_gums.jpg

What Are The Symptoms Of Oral Cancer On The Gums
http://zacslegacyfoundation.org/wp-content/uploads/2020/09/oral-cancer-on-gums.jpg
Leukoplakia Oral Cancer White Spots On Gums - Jan 25 2023 nbsp 0183 32 Oral leukoplakia presents as white plaques of questionable risk diagnosed when other known diseases or disorders that carry no risk for oral cancer have been excluded