What Causes Easy Bruising And Fatigue Question What causes a NullPointerException NPE As you should know Java types are divided into primitive types boolean int etc and reference types Reference types in Java
Jul 21 2010 nbsp 0183 32 The conflict in terminology is caused by the http spec not conforming to the currently widely used definitions to the terms authentication and authorization Likely caused by these Feb 27 2024 nbsp 0183 32 There are various causes of segmentation faults but fundamentally you are accessing memory incorrectly This could be caused by dereferencing a null pointer or by
What Causes Easy Bruising And Fatigue

What Causes Easy Bruising And Fatigue
https://media.healthnews.com/images/featured-big/2023/10/What-Conditions-Cause-Bruising.jpg
/GettyImages-1185182667-a0112375e30f49499f3cf478e763cca5.jpg)
What Is Solar Purpura Bruising
https://www.verywellhealth.com/thmb/I0eDvCawILvsgvQcIlieWIy0ZNk=/2121x1414/filters:fill(87E3EF,1)/GettyImages-1185182667-a0112375e30f49499f3cf478e763cca5.jpg

Bruising After A Blood Draw What Does It Mean
https://i0.wp.com/cdn-prod.medicalnewstoday.com/content/images/articles/327/327464/a-person-showing-bruising-on-their-arm-after-a-blood-draw.jpg?w=1155&h=1297
Jan 26 2020 nbsp 0183 32 MehdiCharife You get a segfault when dereferencing a bad pointer not when the pointer information is bad That is your valid pointer can go bad because the target is freed I m trying to figure out why my app s TCP IP connection keeps hiccuping every 10 minutes exactly within 1 2 seconds I ran Wireshark and discovered that after 10 minutes of inactivity
I was facing the same issue I tried reinstalling different versions again and again 2019 2022 dev and exp however initially nothing helped This can be due to many different causes the most common include network congestion failure of the ARP
More picture related to What Causes Easy Bruising And Fatigue

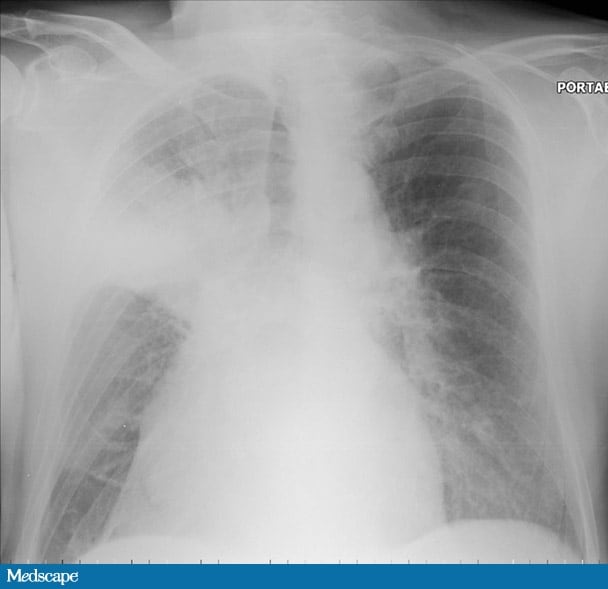
A 74 Year Old Man With Easy Bruising And Fatigue Page 2
https://img.medscapestatic.com/article/875/521/875521-Figure1.jpg

Clinical Evaluation Of Bleeding And Bruising In Primary Care AAFP
https://www.aafp.org/content/dam/brand/aafp/pubs/afp/issues/2016/0215/p279-t1.gif

Investigating Easy Bruising In A Child The BMJ
https://www.bmj.com/content/bmj/341/bmj.c4565/F1.large.jpg?download=true
Jan 9 2015 nbsp 0183 32 There is disagreement as to the causes of the fire I remained uncertain as to the value of his suggestions 2 meaning according to by Example The eggs are graded as to Dec 15 2021 nbsp 0183 32 Cause The commands specified in the Docker documentations generates incorrect repository configurations As per Changes to dockerproject APT and YUM
[desc-10] [desc-11]

Bruising After Cheek Fillers Causes And Prevention
https://www.michelegreenmd.com/wp-content/uploads/IM-28-yo-female-before-after-VBEAM-x1-session-8-months-apart-MGWatermark-1.jpg

Bruising In Kids Is It Normal Your Kid s Urgent Care
https://yourkidsurgentcare.com/wp-content/uploads/2022/12/close-up-portrait-of-a-little-girl-with-a-bruise-o-2022-11-16-07-19-05-utc.jpg
What Causes Easy Bruising And Fatigue - I was facing the same issue I tried reinstalling different versions again and again 2019 2022 dev and exp however initially nothing helped