Postmenopausal Bleeding And Stomach Pain Letrozole Femara Letrozole is a type of hormone therapy drug also known as hormone therapy You pronounce it as let roe zole It is also known as Femara It is a treatment for breast cancer How does
Being overweight or obese is one of the biggest risks of womb cancer in the UK There are some other risk factors that can increase your risk of developing womb cancer Hormones can stimulate breast cancer cells to grow Hormone therapy can block or lower the amount of hormones in the body There are a number of different types of hormone therapy for breast cancer
Postmenopausal Bleeding And Stomach Pain

Postmenopausal Bleeding And Stomach Pain
http://meslataj.tajpharma.com/img/portfolios/1200mg/mesalamine-delayed-release-tablets-meslataj-400mg-800mg-1200mg-taj-pharma-1.jpg

Mesalamine Delayed Release Tablets MESLATAJ DR 400MG 800MG 1 2G
http://meslataj.tajpharma.com/img/portfolios/800mg/mesalamine-delayed-release-tablets-meslataj-400mg-800mg-1200mg-taj-pharma-1.jpg

Uterine Cancer Awareness Month
https://igcs.org/wp-content/uploads/2023/05/1-Common-Symptoms-1024x1024.png
Anastrazole Arimidex is a hormone therapy for some types of breast cancer Find out how it works possible side effects and other important information Raloxifene is a type of selective oestrogen receptor modulator SERM You might have raloxifene to lower the risk of breast cancer if you have a high or moderate risk of developing it
Apr 14 2015 nbsp 0183 32 This trial was done to find out if folic acid could help manage hot flushes in women who have been through the menopause Tamoxifen is a hormone therapy drug to treat breast cancer in women and men It is also sometimes called endocrine therapy
More picture related to Postmenopausal Bleeding And Stomach Pain
Karley Sciortino Mom Dad I Finally Found the One Instagram
https://lookaside.instagram.com/seo/google_widget/crawler/?media_id=3588227452861961610

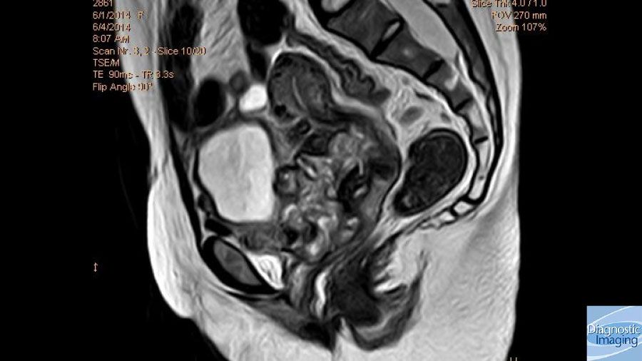
Postmenopausal Bleeding Pelvic Pain
https://cdn.sanity.io/images/0vv8moc6/diag_imaging/7b251ae2843309cb3b5c469a08260358bb040812-900x506.jpg/Postmenopausal-Bleeding%2C-Pelvic-Pain-2.jpg?fit=crop&auto=format

Postmenopausal Bleeding Pelvic Pain
https://cdn.sanity.io/images/0vv8moc6/diag_imaging/725ab4fec751f4f7b1914745221cb256eb73cbeb-900x506.jpg/Postmenopausal-Bleeding%2C-Pelvic-Pain-3.jpg?fit=crop&auto=format
Does hormone replacement therapy HRT increase the risk of cancer HRT slightly increases the risk of some cancers but the risk is small For most people the benefits will outweigh the risks Find out Jun 13 2023 nbsp 0183 32 Stage 3 means that the cancer has spread from the breast to the lymph nodes close to the breast the skin of the breast or to the chest wall
[desc-10] [desc-11]

Stomach Ulcers ChemoExperts
https://www.chemoexperts.com/images/side-effects/stomach-ulcer.jpeg

Endometrial Thickness
https://images.ctfassets.net/eexbcii1ci83/2aXElLw8M9u6CIrAQEIICx/c3be2031845277ff5ed5ad941a6e90d8/Endometrial_lining_thickness_chart.png
Postmenopausal Bleeding And Stomach Pain - Tamoxifen is a hormone therapy drug to treat breast cancer in women and men It is also sometimes called endocrine therapy